
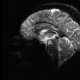
A Comissão de Energia Atômica da França (CEA) divulgou, na terça-feira (2), imagens inéditas de alta precisão do cérebro humano, capturadas pela máquina de ressonância mais...

Dados do Painel de Arboviroses do Ministério da Saúde divulgados nesta quarta-feira (3) apontam que o Brasil registrou 1.020 mortes por dengue nas primeiras treze semanas...

O paciente que recebeu o primeiro transplante de um rim geneticamente modificado de um porco para um ser humano foi liberado do hospital nos Estados Unidos...

– Vamos fazer a melhor Expoterneira de todos os tempos? Com esse desafio a presidente da Expoterneira 2024, Anísia Trevisan, fez uma saudável provocação às lideranças...

Uma prática comum terminou em incêndio em um quarto de apartamento no Centro de Balneário Camboriú. A moradora, de 63 anos, colocou o celular para carregar...

O venezuelano Juan Vicente Pérez Mora, reconhecido em 2022 pelo Guinness como o homem mais velho do mundo, faleceu nesta terça-feira (2) aos 114 anos, confirmaram...

Na noite desta terça-feira, o Santa Rosa Futsal enfrentou a equipe de A.E.F de Entre Ijuí em sua estreia na Taça Farroupilha e foi derrotado por...

Um terremoto de magnitude 6 atingiu a região japonesa de Fukushima, no nordeste do país, nesta quinta-feira (4), conforme anunciado pela Agência Meteorológica do Japão. Não...

Uma operação policial foi realizada nesta quinta-feira (4) contra um grupo que frustrou as férias de pelo menos 13 pessoas no Rio Grande do Sul através...

Após a resistência expressiva ao aumento do ICMS no ano anterior, o governador Eduardo Leite adota uma abordagem cautelosa, adiando a submissão de um novo projeto...
Entre em contato