
Chegou o dia do Grande Debate, uma parceria entre o Portal Plural e a Rádio Mais FM! Esse é um marco histórico para a comunicação de...

O que você faria? Desde que o Hamas invadiu Israel em 7 de outubro e o Hezbollah atacou o país no dia seguinte, essa é a...

Em outubro, 5.569 municípios brasileiros elegerão prefeitos e vereadores, mas Brasília e as regiões administrativas do Distrito Federal, conhecidas como “cidades-satélites”, não fazem parte dessa lista....

Um vídeo de um cachorrinho, uma foto de uma amiga na praia, um meme, uma notícia do outro lado do mundo — os conteúdos se alternam...

A rede social X informou que, nesta quinta-feira, entregou ao Supremo Tribunal Federal (STF) os documentos exigidos pelo ministro Alexandre de Moraes e solicitou o desbloqueio...

Após um desempenho recorde nos primeiros meses de 2024, a indústria de eletrodomésticos e aparelhos portáteis está renovando suas expectativas para o final do ano. Entre...

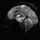
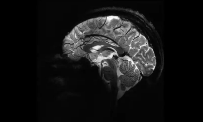
O cérebro dos homens pode “encolher” em até 70% ao longo do dia, entre 7h e 20h, antes de se “reiniciar”, segundo um novo estudo. Esse...

Em agosto deste ano, a Secretaria Nacional de Trânsito (SENATRAN) divulgou uma pesquisa revelando que, dos 32,5 milhões de proprietários de motocicletas, motonetas e ciclomotores registrados...

Entre janeiro e 19 de setembro, foram realizados 1.149 transplantes de órgãos no Rio Grande do Sul. O número de doadores efetivos, nos quais foi possível...

Uma comitiva técnica da FIFA esteve em Porto Alegre na quinta-feira (26) para realizar uma inspeção no Estádio Beira-Rio. A capital do Rio Grande do Sul...
Entre em contato